loader

Permanent Teeth in 3 Days

img

GET YOUR PERMANENT TEETH IN JUST THREE DAYS THAT IS 72 HOURS

The advent of dental implants came out as a blessing for individuals looking for a single, multiple and complete teeth replacement. However, the conventional dental implant procedure has some limitations and drawbacks of their own. One such drawback being the amount of time required for the conventional dental implant therapy. The time can extend anywhere from three months to twelve months depending upon the number of teeth replaced. The time for a full mouth dental implants can take more than 10 months. Individuals undergoing such treatments are required to wait for a long period before they can take the benefit of the treatment.

img
img
img

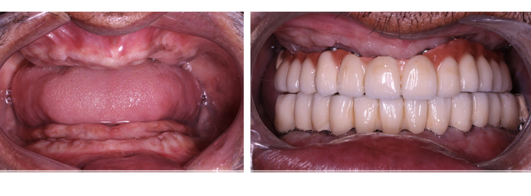
However, if a patient seeking dental implant treatment walked into Jani's implant center and smile studio in Bhavnagar and Ahemdabad, Gujarat, they could expect a rapid relief solution. A new set of permanent fixed teeth in just 3 days. In a matter of 72 hours, we deliver a permanent solution, nothing temporary. So, you can walk out in confidence in 72 hours with fixed permanent teeth and start enjoying life to the fullest again.

This has come to reality with the advent of newer technology of permanent teeth in 3 days. All patients can acquire permanent fixed bridges on implants in 72 hours. This may be a single implant, multiple or even a full mouth implant treatment. This procedure involves immediate functional loading which is more reliable and has a higher success rate when compared to the traditional approach of implant therapy. We have placed several immediate functional loaded implants in a mere 72 hours and have devised techniques with finesse. The dental implant cost in our clinic is extremely affordable and of the highest dental standard.

Types of Immediate Dental Implants

1. Full Mouth Dental Implants

Full mouth dental implants involve a full set of permanent teeth that are fixed on the dental implants. A full set means 12 teeth in your lower jaw and 12 teeth in your upper jaw. This makes a total of 24 teeth, a full mouth replacement with dental implants in just 72 hours. No need for waiting is agony for months to get your smile back, now it is just 3 days. A fully equipped high technology lab fabricates exceptional quality teeth in 3 days. This can either be zirconia, regular porcelain or a hybrid. 6-8 implants are placed in the lower jaw and 8-10 in the upper jaw. With the help of these, we fix fabricated teeth. The cost of full mouth implants can vary with patients. A combination of compression plants, basal implants, and zygomatic implants are also used to deliver full mouth of fixed permanent teeth in 3 days without using a bone graft or sinus lift procedure. A fully restored mouth in 72 hours.

2. Single and Multiple teeth replacements in 72 hours

In the case of single or multiple teeth replacements in 72 hours that is 3 days one or more implant is placed in the designated area. In some cases of a single implant, a temporary crown may be placed first for an average time of 3 months as the risk is a little more in case of a single dental implant. The permanent crown is placed after this time. This especially happens in the case of a single molar replacement in the upper and lower jaw. The dental implant cost in this procedure depends upon the number of implants we put and the teeth replaced. We strived to give you high-quality treatment at an affordable price.